Τι είναι;
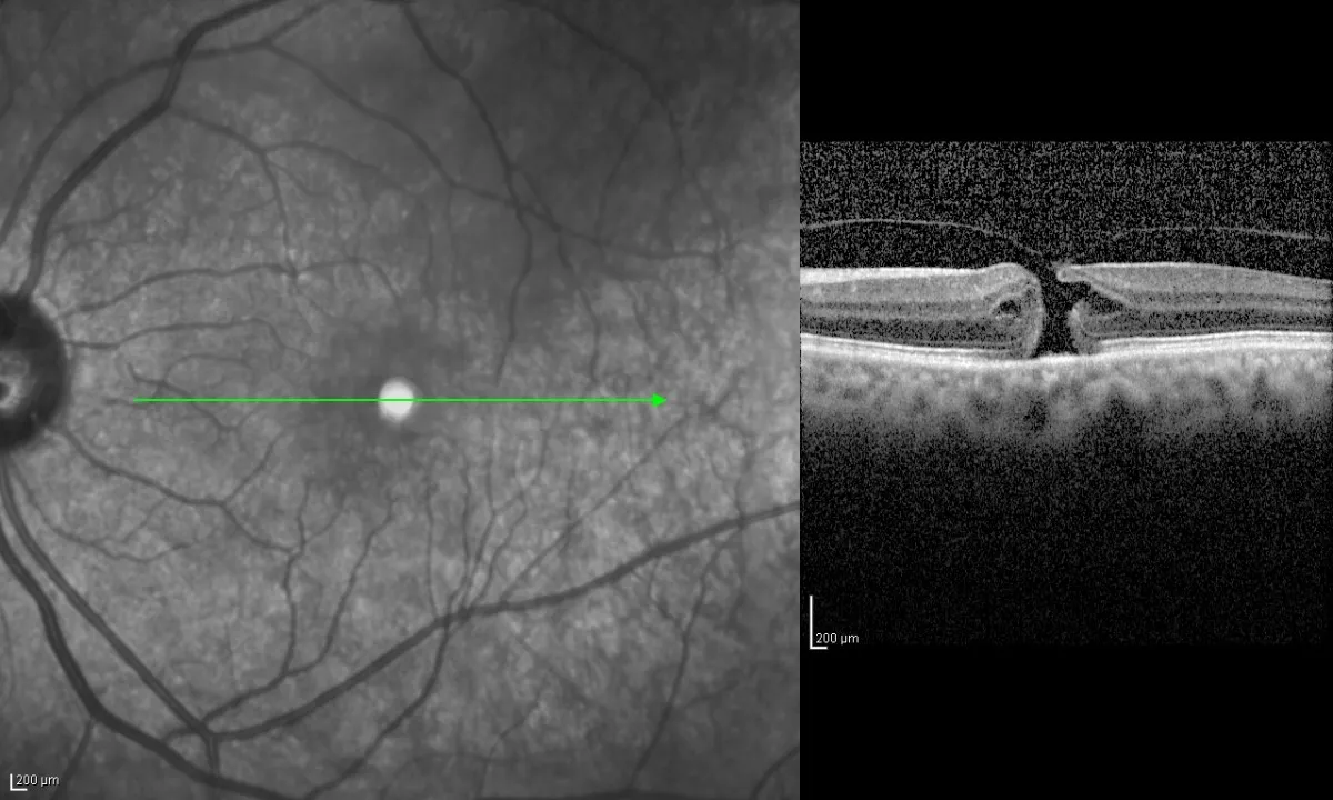
Αποτελεί μία οπή (τρύπα), η οποία εντοπίζεται στο κέντρο του αμφιβληστροειδούς, στην ωχρά κηλίδα, που είναι υπεύθυνη για την ευκρινή μας όραση

Σε ποιους συμβαίνει συχνότερα;
Η οπή ωχράς κηλίδας μπορεί να είναι μερικού πάχους ή πλήρης και συμβαίνει συχνότερα σε γυναίκες με υψηλή μυωπία, μεγάλης ηλικίας (>60 ετών) και μπορεί να σχετίζεται με επιωχρική μεμβράνη και άλλες παθολογικές καταστάσεις του ματιού.

Πως εμφανίζεται;
Οι ασθενείς με οπή ωχράς κηλίδας αντιλαμβάνονται μείωση της κεντρικής τους όρασης και ένα χαρακτηριστικό κεντρικό σκότωμα. Αδυνατούν δηλαδή να διαβάσουν και να ξεχωρίσουν χαρακτηριστικά του προσώπου των ανθρώπων που κοιτούν.

Πως αντιμετωπίζεται;
Η αντιμετώπισή της είναι κατά κανόνα χειρουργική, συνηθέστερα με υαλοειδεκτομή, δηλαδή αφαίρεση του υαλοειδούς (ζελέ που γεμίζει φυσιολογικά το μάτι) και πλήρωση του ματιού με ειδικό αέριο.